Ace the Great Dane

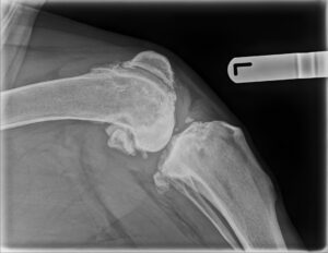
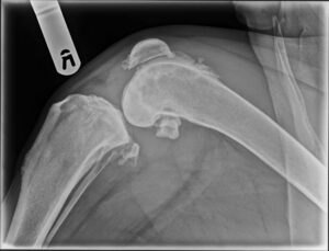
Adorable Ace the Great Dane started to have problems with arthritis in both his stifles in 2019 following suspected cranial cruciate disease when he was only two years old. Over the following months he was managed conservatively but the combination of anti-inflammatory medications and pain-relieving injections just wasn’t effective enough. Ace received an injection of polyacrylamide hydrogel into both his stifles in April 2023 and he hasn’t looked back. Much more comfortable after only a few weeks, his loading and balance have improved.  The increased comfort has also permitted him to do targeted physiotherapy which has built up his strength and condition to try and prevent deterioration.  Ace is now routinely monitored to ensure he remains comfortable and is enjoying life to the full.

March 2023

October 2023

Follow our socials

©Copyright Nupsala MSK 2024

Created by Codesky